Pneumonia
Pneumonia is a lung infection usually caused by bacteria, sometimes by viruses or fungi also. It could be either ‘Community acquired’ pneumonia in most of the patients. In some patients who are hospitalised for long time may get ‘Hospital acquired’ Pneumonia, which is difficult to treat.

Common symptoms include:
- Cough with purulent sputum
- Fever
- Chest pain, especially when taking a deep breath
- A fast heartbeat
- Shaking chills

Yes. Because sometimes it worsens rapidly.
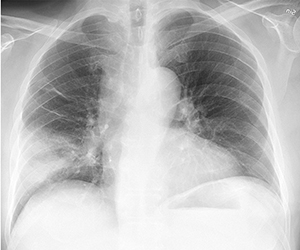
Your doctor would advise Chest X-ray. Based on your symptoms and clinical examination, you may need further test with blood, Sputum or CT scan of chest

After examination, if doctor thinks your vital parameters are stable, you may get oral antibiotics for 1-2 weeks.
If your clinical presentation suggestive of serious illness, you would need admission in hospital, Oxygen, injectable antibiotics for 2 weeks or more and other treatment as per your doctor’s advice.
Check CURB-65 Score for Pneumonia Severity – (Click Here)
Check CURB-65 Score for Pneumonia Severity – (Click Here)
Take plenty of oral fluids
Take Rest
Take Rest
Hand Hygiene
Quit Smoking
Pneumococcal and Influenza vaccination.
Quit Smoking
Pneumococcal and Influenza vaccination.





