Tuberculosis is infectious disease cause by bacteria called ‘Mycobacterium tuberculosis’. It most commonly involves lungs. It can also involve lymph nodes, abdomen, brain and other organs. Its very common in India.

You can get infected with TB if you come in contact with patient suffering TB. It can travel in the tiny drops of fluid that spray when a person coughs or sneezes. If you inhale those drops, you can get infected.

If you have got infected with TB bacteria one of the following can occur:

  • Your body’s immune system kill the bacteria and you will not get sick with TB.
  • Your body's immune system might be able to control the germs but not completely kill them off. This is called "latent TB." Such people with latent TB can get sick later on once immunity decreases due to say diabetes, HIV or any other reason. Once you have "active TB" – you need to take complete course of treatment with anti TB medicines.
  • A cough with or without sputum usually >14 days
  • Fever usually evening rise
  • Sweating at night
  • Losing weight without trying to; decreased appetite

Yes, if you have above symptoms, which are not improving despite symptomatic treatment with over the counter medicines, you must see your doctor immediately.

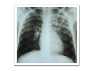
Yes. Your doctor would advice appropriate test after examining you. It may include Chest X-ray, Sputum Test, CT scan of Chest etc.

You will definitely need treatment. Also your close contacts specially children needs to be evaluated for TB.

One third of asthmatic women improve, one third remains same and remaining third (33%) of asthmatic women usually have worsening of symptoms.

People who are diagnosed with active TB needs to take medicines for at least 6 months. Which may be extended for total of 9-12 months if needed as per advice of treating doctor.

It’s very important you take medicine as advised by your doctor. If you stop or decrease number of tablets on your own, your disease may worsen and you may develop difficult to treat TB called as MDR TB or XDR TB which is still hard to treat.

MDR TB and XDR TB usually require treatment for 18 to 20 months at least. There have been new drugs available namely ‘Bedaquilline’ and ‘Delamanid’ which shows improved treatment success in MDR and XDR TB

TB medicine may turn urine dark orange / red colour due to medicine – Do Not Worry. Some patients experience nausea or vomiting for first 1-2 week after starting Anti TB Treatment (ATT). Your doctor may advice you change of timing or give medicine for to prevent or treat vomiting.

ATT can cause jaundice in some patients. Avoid alcohol intake while on ATT. Recheck Liver functions after 10 days of starting ATT ensure there is no immediate ATT induced hepatotoxicity. TB is a serious disease. It can lead to death. Mortality due to TB is higher than other infections including COVID. That's why it's so important that you take treatment very seriously.