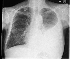
Pleural effusion is accumulation of fluid around (not inside) the lungs. Most common causes include infections like tuberculosis, pneumonia; heart failure, kidney disease, cancer etc

What are the symptoms?

  • Chest pain – Sharp pain may be present in early days when there is inflammation (Pleuritis). Once fluid accumulates pain decreases except in cases of cancer.
  • Shortness of breath.
  • Cough usually dry
  • Fever
  • Chest X-ray
  • CT scan of Chest
  • Ultrasound guide pleural fluid removal to be sent for various lab test.

Treatment depends on your symptoms and the cause. If effusion is small, it may be taken out with needle for tests.

If you are very breathless and effusion is large then surgical procedure called intercostal drain (ICD) or Pig-tail insertion may be required to remove as much fluid as possible.

If it’s because of heart failure then it can be treated with some medicines.

If its because of kidney problem then dialysis may be required.

If it drains infected pus then, your doctor might put a flexible plastic tube (ICD/Pig-tail) into the fluid to drain the infection. This tube might stay in for a few days. You may need long course of antibiotics or anti-TB medicine as indicated.

If it’s because of cancer, then your doctor may put pig-tail and further may consider for pleurodesis (Click Here) if required to prevent fluid from coming again and again apart from giving chemotherapy.

Sometimes you may need to undergo surgery called Medical Thoracoscopy (Click Here) if your effusion is not improving and fluid report are not conclusive of the diagnosis