A pneumothorax occurs when air leaks out of the lung and accumulates in pleural space between lung and chest wall. This is one of the causes of collapsed lung. Its severity varies from mild to severe based on amount of air collected. Severe pneumothorax can be life threatening and needs immediate treatment.

Lung injury from accident or by sharp object during fight or after surgery. Sometimes there is no obvious cause but some underlying medical condition predisposes it.

  • COPD – caused by smoking
  • Certain lung infections.
  • Conditions that cause cysts (air-filled sacs), bullae, blebs in the lung

Sometimes, a pneumothorax happens in people who have no known lung condition or injury – Primary spontaneous pneumothorax

It ranges from no symptoms to mild chest pain to severe breathlessness and chest pain, palpitation, dizziness.

Immediately see a doctor.

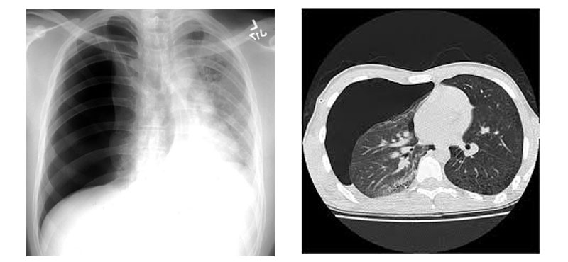
Chest X-ray. CT Thorax once lung has expanded spontaneously or after Intercostal drain (Pig-tail catheter) insertion

Quit Smoking. Avoid strenuous exercises like gym, lifting heavy weights, swimming, air-travel for at least 3 to 6 months.

Your treatment will depend on your symptoms and size of pneumothorax.

Hospitalisation and observation for small asymptomatic pneumothorax.

Oxygen supplement – as it helps resolve pneumothorax 4 times faster.

If pneumothorax is large in emergency your doctor may aspirate it with needle attached to under water seal.

You would need chest tube / Inter costal drain / Pig tail catheter placement by surgery in case of large pneumothorax for collapsed lung to expand.

Sometimes when it doesn’t improve with that or you are getting similar episodes of pneumothorax again and again, VATS- Thoracoscopy is required to see underlying problem and treat it. Chemical pleurodesis with talc can also be helpful for treating recurrent pneumothorax.image