Pulmonary embolism (or "PE") is a blockage the blood vessels that supply blood from hearth to the lungs for oxygenation. Usually it is caused by blood clots in leg veins. Sometimes it can also be caused by air bubble, fat globules or tumour pieces.

Because these blood clots block the arteries which carries blood from right side of heart to the lungs for oxygenation. Hence oxygenation of blood gets hampered. Also, large clots may cause serious fall in blood pressure. It can be life threatening.

Common symptoms include:

  • Shortness of breath
  • Chest pain – sharp shooting
  • Coughing or coughing up blood
  • A rapid heartbeat

If you have such symptoms, immediately contact doctor / call for ambulance. Blood clots in the lungs can lead to death. Hence, it’s important to act quickly.

What are the symptoms of blood clots in the legs?

  • Swelling of calf
  • Pain
  • Warmth / redness of leg.

Clot in superficial veins usually don’t cause pulmonary thrombo-embolism

Based on your history, severity of symptoms and clinical prediction score doctor would advice one or more of the following tests:

  • D-dimer blood test – Good test to exclude
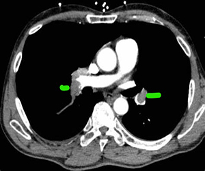
  • CT pulmonary angiogram (also called a CT-PA) – Usually diagnostic
  • A ventilation/perfusion lung scan (also called a V/Q scan) – Rarely required
  • Pulmonary angiography – Rarely required
  • ECG
  • X ray of local part to look for fracture in case of trauma
  • Thrombophilia profile (Protein C, Protein S, Anti thrombin III, Factor V Leiden)

To know clinical prediction score for pulmonary embolism (Well’s criteria) – (Click Here)

Blood clots are treated with medicine which causes clot to dissolve (Thrombolysis) or to prevent further clot formation/expansion (Anti-coagulant).

If It’s not so severe, then it can be treated only with ANTI-COAGULANT i.e. blood thinner to prevent it from getting bigger of clot or new clot formation. It doesn’t lyse the clot.

These comes in injectable and tablet forms. Your doctor would guide what is best for you.

Some patient cannot take medicine due to side effects or other reason, then an "inferior vena cava filter" (also called an IVC filter) is advised.

If you have very large clot, it will cause blood pressure to fall and body goes in ‘shock’ due to lack of blood supply. In such case doctors can give medicine to dissolve the clot. This “clot-busting" medicine - THROMBOLYSIS, and is given through a catheter (a small tube inserted into the vein). In some cases, doctors will do surgery to remove the clot.

Can I do anything on my own to prevent blood clots?

Do not smoke before travel

Avoid alcohol or sleeping medicine

Wear loose cloths

Movement of legs, walk after 1-2 hour

DVT Stocking and Limb physiotherapy required for patients after orthopaedic or major surgery which required prolonged bed rest.